


Qualifications: MBBS, MS Orthopaedics (Gold Medalist), Spine surgery Fellowship- ASSI, FISS Tokyo Japan.
Experience: Ex. Spine Surgery Junior Consultant, Sancheti Hospital, Pune
Memberships: ASSI 2023, AO Spine Member 2025
Research: 8+ International papers (Endoscopic Spine Surgery, Robotic Spine Surgery, 3-D Spine Navigation, Paediatric spine, Spinal Tumors)
Achievements: Over 1500 spine surgeries done, 6+ years spine surgery experience.
As we age, the discs (soft cushions) between our spine bones can dry out or wear down. This may lead to back or neck pain, stiffness, or tingling in the arms or legs, but it is a common part of aging.
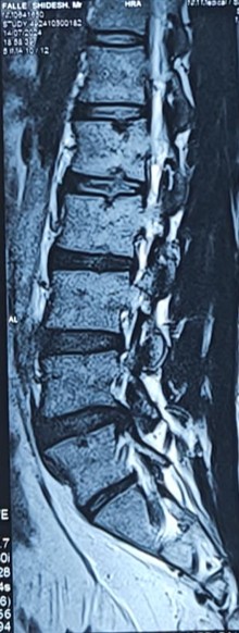
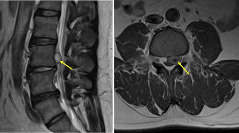
A disc herniation means the soft part inside a spinal disc pushes out through a crack, causing back or leg pain. The stages go from mild bulge to severe disc material pushing out (sequestration).
Disc prolapse occurs when the disc bulges out enough to press on the nerves. This can cause pain, numbness, or weakness in your back or legs.
Disc extrusion is a type of intervertebral disc herniation in which the nucleus pulposus (the inner gel-like material) breaks through the annulus fibrosus (the tough outer ring) but remains connected to the main disc. It represents a more advanced stage than a disc protrusion, with the herniated material extending beyond the confines of the annulus.
Disc sequestration happens when a piece of the disc fully breaks off and moves into the spinal canal. This may cause severe pain, weakness, or even bladder problems.
When the space in your lower back (lumbar spinal canal) gets narrow, nerves can get pinched. This often makes it hard to walk for long, and you may feel pain or numbness in your legs.
Modic changes are natural changes seen in spine MRI. They show swelling or changes in the bones near the disc and may or may not cause pain.
When the bones of the spine become weak (osteoporosis), they can break easily and cause sudden back pain, a hunched posture, or loss of height.
These are abnormal growths (benign or malignant) in the spine, which may come from other parts of the body, causing pain, weakness, or other changes.
Infections can affect the bones or discs of the spine. They can cause fever, pain, and may need urgent care to prevent serious problems.
Sometimes, previous spine surgeries need to be corrected or re-done. This is called revision surgery, and it's done when pain or problems return after earlier treatment.
Serious accidents or falls can break or injure the spine, leading to pain, nerve injury, or even paralysis if not treated quickly.(Needs medical attention)
Scoliosis means your spine curves sideways. It can happen in children or adults and might require treatment if it is severe or causes pain.
One spinal bone slips forward over another, which may cause back pain or nerve symptoms.
*Other Spine Pathologies also treated.*
We start with a full check-up and listening to your health concerns, supported by a detailed physical examination.
Modern tests like X-rays, MRI, or CT scans help us find the true cause of your spine problem.
We use special injections to quickly relieve back or neck pain in a safe, non-surgical way.
This is a keyhole procedure using a small camera and instruments, resulting in faster recovery and less pain.
Very advanced technique which uses two small cuts/ports for complex spine issues in a less invasive way.
We use advanced tubes and microscopes to remove disc problems with minimal cuts, meaning faster healing.
Using a high-powered microscope, we can work with extreme precision to treat delicate spine issues.
Surgery done with tiny cuts and special tools—less pain, smaller scars, and quicker return to normal life.
For some severe cases, open surgery is best. We provide this with maximum care and safety.
We use rods and screws to stabilize the spine when needed, helping you move safely after injury or deformity.
Safe and advanced surgical care for children with spine issues.
We correct abnormal spine curves to improve posture, pain, and appearance.
If you have pain after previous spine surgery, we offer expert assessment and advanced solutions to help you recover.
Detailed description of early recovery, hospital stay, and home care instructions.
Quick Links
Quick Links
Services
Orthomed Hospital, Sector 15 AP, Kaimri road, Hisar, Haryana- 125001